好多人觉得脑梗跟年轻人距离甚远,然而三十岁出头热爱健身的人,也有突然倒下的可能,仅仅是缘于一个看上去没危害的转头动作 。
椎动脉夹层并非老年人专属
以往向来觉得脑梗是一种老年病哟,然而临床所呈现的数据表明啦,在40岁以下的青年卒中患者当中呢,由动脉夹层所导致的患者占比达到了10%至25%呀。江苏省人民医院在近期收治了一名31岁的患者黄先生呢,他平时向来坚持健身而且并无基础疾病哟,可是却在办公室里完成颈部拉伸之后突然就患上了脑梗呀。这样的一类案例显示出啦,椎动脉夹层正逐渐成为青壮年健康方面的一种新的威胁呢。
血管弹性好的年轻人,颈部突发性机械应力也有可能造成损伤,2023年《中国卒中杂志》统计表明,椎动脉夹层患者中20到45岁群体占比超过三成,这类患者常常因为缺乏预警意识,在就诊的时候已经出现明显神经功能缺损,从而错失黄金救治时间。
颈部隐藏的脆弱生命线
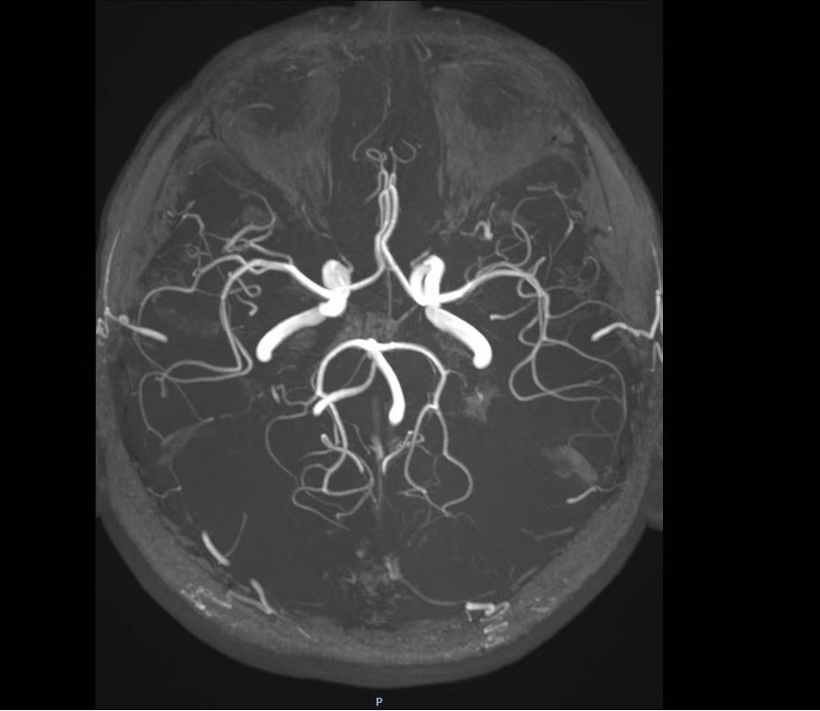
颈椎两侧,人体之上,各有一条位于此处的椎动脉。椎动脉穿行,于颈椎横突孔所构成的,这般的骨性通道之中。其穿行状态恰似,如同穿过隧道的光纤一样。这段存在的解剖结构,致使其活动空间受限。当颈部出现过度活动情况的时候,动脉容易被挤压。椎动脉的职责是负责大脑后循环供血,一旦椎动脉出现受损状况,将直接对脑干功能产生影响。
椎动脉管壁,分为三层构造,中层是由弹性纤维组成的。当碰到超出耐受范围的牵拉力时,内膜会出现撕裂。血液在血压推动下,涌入血管壁夹层,形成血肿,在此过程中,血管壁会如同墙皮剥落一样,层层分离,最终致使管腔狭窄或者闭塞。
一个动作引发的连锁反应
在黄先生发病之前出现的转头动作,这个动作产生了类似“挥鞭效应”的机械应力,神经内科医师对此作出解释,当颈部在毫无准备的情形下进行快速旋转时,椎动脉会被拉伸到正常长度的130%以上,这种瞬间产生的牵拉力足够将血管内膜撕裂。
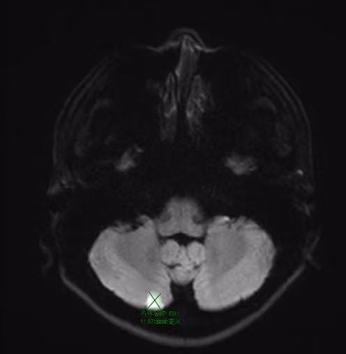
当血栓脱落之后随着血流进入到脑内血血管处,就会如同塞子相同堵塞住血管,致使脑组织出现缺血坏死的状况 。
识别危险的颈部警报
椎动脉夹层最为典型的信号,乃是突发性的后颈部剧痛,患者常常把这种是疼痛形象地表述为像 “被刀砍似那样”感觉的疼痛,这种疼痛跟普通肌肉劳损之间存在着区别,区别就像是这样,它会持续不断地存在,并且和体位的变化毫无关联,常常带着搏动性耳鸣出现,大约70%的患者,在脑梗发生之前的24小时,就会出现这种似的预警信号。
视觉障碍呈现为视野缺损又或者视物重影,致使如此的根源是脑干动眼神经核缺血,行走不稳意味着小脑被累及,患者存在突然没办法走直线的可能性,要是出现单侧肢体麻木,亦或者面部感觉异常,这表明感觉神经通路已然受损,必须马上就医。
被忽视的高风险行为
理发店洗头之际,颈部长时间保持后仰状态,会致使椎动脉血流量减少百分之四十。颈椎按摩之时传来的“咔嚓”声响,实际上乃是关节囊内气体爆裂发出的声音,和血管安全性不存在直接关联。非专业的手法复位,能够让椎动脉内膜出现显微镜下能够看见的撕裂。
有的运动像游泳时转头换气,还有瑜伽中的肩倒立,以及足球里的头球等等,都极有可能给椎动脉造成过度牵拉。健身爱好者在做卧推、深蹲时,要是姿势不正确,颈部肌肉一直处于紧张状态,同样会致使血管负担加重。运动之前适度进行热身有助于提升血管顺应性,进而降低损伤发生的概率。
主动预防胜过紧急救治
进行颈部活动时,建议遵循“慢、轻、柔”原则,旋转幅度控制在45度以内,避免快速甩头,使用记忆棉枕头保持颈椎中立位,睡眠时减少颈部扭转,乘坐交通工具时佩戴U型枕,防止急刹车时颈部甩动。
降低血管壁压力需要控制高血压,改善血管内皮功能要戒烟。对于有结缔组织疾病家族史的人群,建议定期进行颈动脉超声筛查。对于有血管疾病家族史的人群,也建议定期进行颈动脉超声筛查。若出现突发性颈部疼痛,并且伴有神经症状,应在4.5小时黄金时间窗内,送至有卒中中心的医院。
有没有人在您身旁,曾因颈部不舒服,采取了不恰当的处理办法呢?欢迎把经历分享出来,提醒更多的读者留意防护,要是感觉这篇文章有帮助,请点赞给予支持。
