在甲状结节检查报告之上,显示出了“点状强回声”,这致使好多人心里陡然一沉,究竟那是属于良性表现的胶质,还是存有危险性的微钙化呢,这般问题总是持续不断地困扰着患者,与此同时这也是医生于进行诊断之际,常常会遇到的挑战。
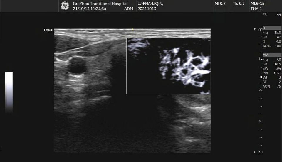
结节内部的点状强回声
在甲状腺超声里,有好些小于1毫米的亮点,这些亮点有隐藏重要信息的可能,这些叫做点状强回声,有时这些点状强回声后方带着呈逐渐减弱态势的平行线条,样子类似彗星尾巴,这种情况通常是浓缩胶质形成的混响伪像,然而实际诊断时,医生常碰到既无声影又无可观察彗尾征的强回声点,这时判断其性质就特别困难了。
点状强回声存在,其性质不同,处理有明显差异,浓缩胶质一般代表良性,微钙化算得上是恶性指征,有研究表明,在恶性结节中微钙化出现的频率,比良性结节显著高些,这就是医生对这些小点十分重视的原因 。
微钙化与浓缩胶质的鉴别
点状强回声出现,其后方伴有声影,这属于典型的微钙化表现,多条平行强回声存在,向深部延伸,这是由浓缩胶质形成的彗星尾伪像,然而在临床实践当中,这两种特征并非总是如此典型,小于1毫米的微钙化,可能不会产生明显声影,给准确判断造成了难度 。
专家们给出建议,处理这类情况要采取谨慎原则,针对结节内出现性质不明的点状强回声,应优先考虑微钙化的可能性,这种处理方式虽可能带来增加不必要穿刺检查的情况,却能够有效降低漏诊恶性肿瘤的风险。?
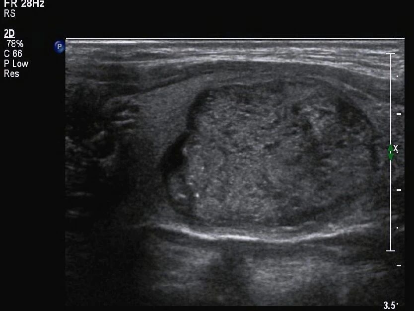
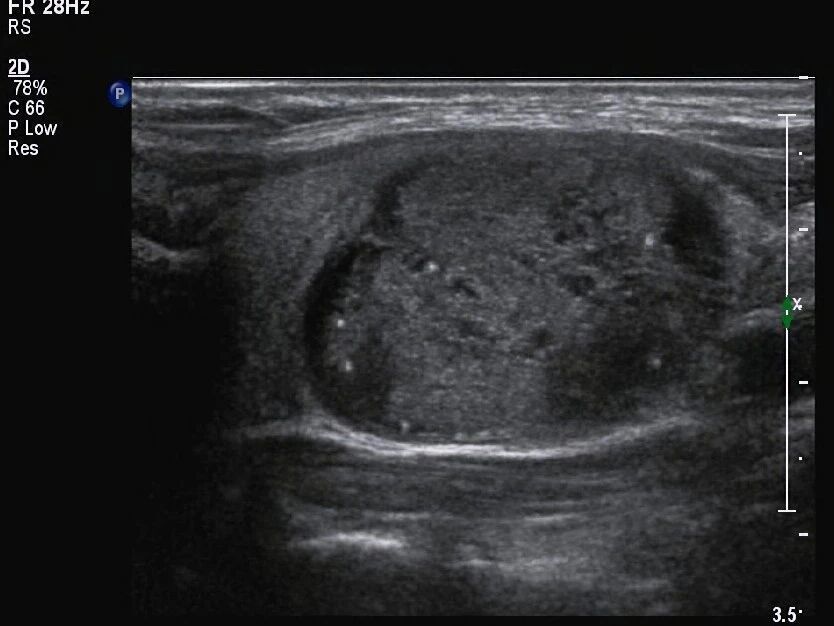
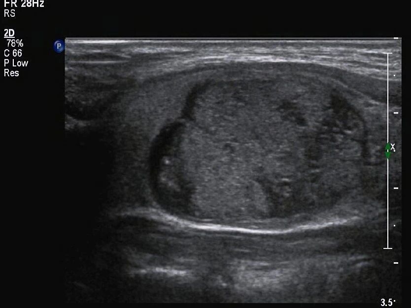
囊实性结节的特征分析
囊实性结节,存在包含液态的囊性部分,还存有含有固态的实性部分,这种具备混合结构的状况,给诊断带来特殊挑战,要留意的关键在于,其与由大量微小囊腔构成、基本没有实性成分的海绵状结节有着本质差别 。
在考量恶性风险时,结节全然呈现囊性状态,结节全然呈现海绵状模样,一般而言这种结节偏向良性,作为实性的结节,其风险相对较高,然而囊实性结节所具备的风险,处于这两者的范围区间之内,临床所获取的数据表明,囊实性结节致使恶变的概率,显著比完全呈现为实性样子的结节来得低。
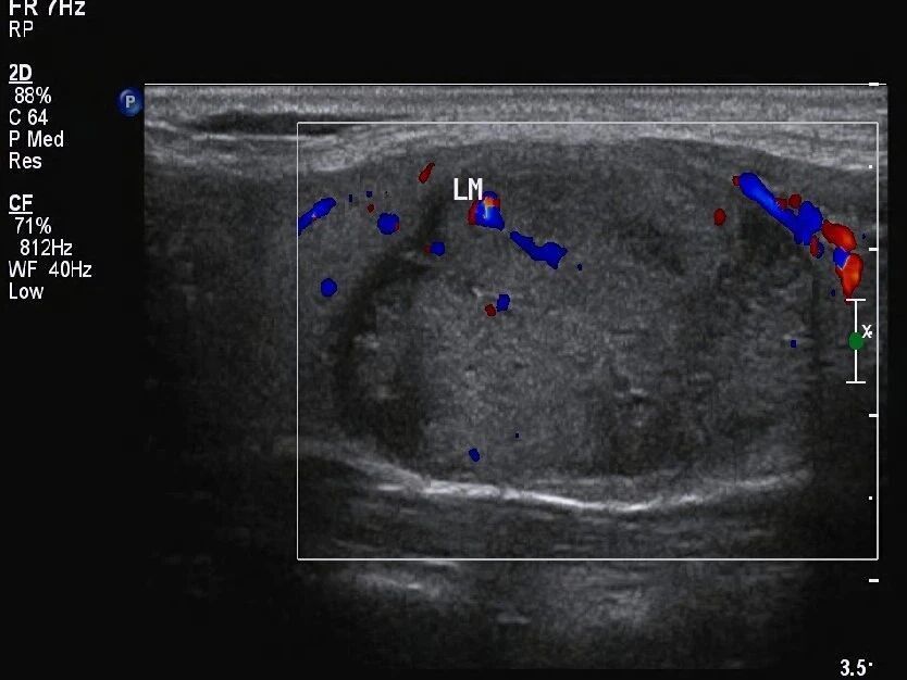
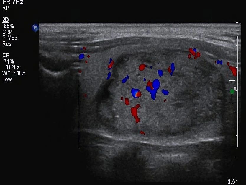
点状强回声的位置意义
结节在不同部位,那里出现了然点状强回声,而其临床意义有着截然不同的情况, 在位于囊性部分的体现为短线状强回声,尤其是伴有典型彗尾征的那种,大多是由浓缩胶质形成的,这属于良性表现,这些胶质实际上是甲状腺滤泡内浓缩的胶状性质物 。
点状强回声出现在实性部分时,此显示情况下其后方没有清楚明显的彗尾征,这时需十分密切高度警惕微钙化存在的可能性,在这样的状况下,即便结节其他特征表现展示良好,也应按可疑特征样式处理应对,还建议更进一步深入检查明确定性质,。
声晕特征的分析价值
声晕特征在结节周围存在着,可为诊断提供重要线索。薄且均匀的声晕存在着,肿瘤一般是良性的,代表结节生长不迅速,对周围其他组织施加正常均匀压迫形成这种情况。这种声晕,在甲状腺结肠里颇为常见。
一些结节属于恶性,它的声晕呈现特定特点,这些声晕特征并非单一统一,有的声晕完全不存在,呈现为空环状,有的厚,然而声墙的厚度不均匀,这种声晕不均匀的情况,恰恰是浸润恶性生长的趋势所造成的特性,是判断结节为良性或恶行类型的重要参考指标之一的体现,而这一点同样能够用作判断依据来加以确诊恶性。
纵横比与结节形态评估
老是将纵横比大于1视作甲状腺癌的典型特征,然而在临床之中,例外的情形并非难得一见。比如说,在一些病例当中的结节,尽管其外形呈现出规则的样子,边界显示出清晰的状态,可是却缺少典型的纵横比异常表现,这给我们传递出一个提示,即要综合多个指标进行评估。
结节边界得有多清晰,才会有这般特色,这特色得放到全面评估得是什么样的一种状态啥的局面什么层面,你说,到底得是怎样一种复杂无比的状态什么层面里才行呢。结节形态呢,它具有规则性,就这么个事儿,这事儿也得归到全面评价里头,你说说,这全面评价得是个啥样的令人头大的评价模式才行呢。结节内部回声均匀程度的要求,也要装进整体的进行多方面考量需要综合各种因素的估量这样的体系当中去啊,你看看,这体系得多复杂多全面才放得下这要求呢。仅仅依靠随便哪一个单独的特征,根本就不可能做出精确无误的判断,必须得结合好多好多维度,好多好多层次的超声特征之后,再去开展那种综合式的严谨程度十分高的系统式的分析,才能够提高诊断的准确程度哟 !
在体检之时,是何人自行察觉甲状腺结节而后做出抉择,是即刻前去穿刺,即便是做定期观察呢 。极愿意放置评论区分享经历以及有关看法哦 。要是自身感觉那本文于自个儿存在助益之处呐,那就点赞恳请其予以支持呢 !
